
Protese parziale del ginocchio
La soluzione miniinvasiva che preserva i tuoi legamenti.
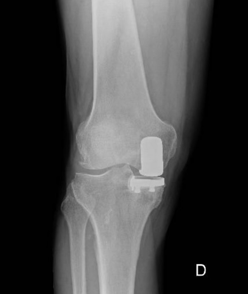
Le protesi parziali di ginocchio, note anche come protesi monocompartimentali, rappresentano una soluzione chirurgica avanzata per pazienti affetti da artrosi limitata a un singolo compartimento dell’articolazione. A differenza delle protesi totali, queste consentono di preservare i legamenti crociati anteriori e posteriori, mantenendo intatta la biomeccanica naturale del ginocchio.
Vantaggi della Protesi Parziale di Ginocchio:
- Preservazione dei Legamenti: Mantenendo intatti i legamenti crociati, si conserva la stabilità e la propriocezione dell’articolazione, favorendo un movimento più naturale post-intervento.
- Minore Invasività Chirurgica: L’intervento richiede incisioni più contenute e una minore resezione ossea rispetto alla protesi totale, riducendo il trauma ai tessuti circostanti.
- Recupero Accelerato: La tecnica meno invasiva comporta una diminuzione del dolore post-operatorio, una riduzione delle perdite ematiche e un ritorno più rapido alle normali attività quotidiane.
- Conservazione dell’Anatomia Naturale: Preservando le strutture sane del ginocchio, si ottiene una sensazione articolare più fisiologica e una migliore funzionalità a lungo termine.


Indicazioni per la Protesi Parziale:
Questa procedura è indicata per pazienti con artrosi limitata a un solo compartimento del ginocchio, con legamenti crociati intatti e senza deformità significative. Una valutazione clinica approfondita e l’uso di tecniche di imaging avanzate sono essenziali per determinare l’idoneità del paziente all’intervento.
Tecniche di Imaging Avanzate:
L’utilizzo di radiografie specifiche e, in casi selezionati, della risonanza magnetica nucleare (RMN) è fondamentale nella pianificazione preoperatoria. Le radiografie consentono di valutare l’estensione dell’artrosi e l’allineamento dell’arto, mentre la RMN offre una visione dettagliata delle strutture intra-articolari, come legamenti e cartilagine, assicurando una selezione accurata dei pazienti candidati alla protesi parziale.
Tecniche Chirurgiche Avanzate:
L’adozione di tecnologie come la chirurgia assistita da computer (CAS) o robotica permette una pianificazione preoperatoria dettagliata e un posizionamento preciso dell’impianto, ottimizzando l’allineamento e il bilanciamento legamentoso. Queste metodiche mirano a personalizzare l’intervento in base all’anatomia specifica del paziente, migliorando gli esiti funzionali e la longevità della protesi.
Vantaggi Rispetto alla Protesi Totale:
Quando indicata, la protesi parziale di ginocchio offre numerosi vantaggi rispetto alla protesi totale, tra cui minore invasività, recupero più rapido e migliore funzionalità articolare. Tuttavia, è essenziale una valutazione accurata per determinare l’approccio più appropriato per ciascun paziente, garantendo così i migliori risultati possibili.
Non Solo per Pazienti Giovani:
Contrariamente a quanto si potrebbe pensare, le protesi parziali di ginocchio non sono riservate esclusivamente ai pazienti giovani. Questa procedura è indicata per chiunque presenti un’artrosi confinata a un solo compartimento del ginocchio, indipendentemente dall’età. La selezione del paziente si basa principalmente sull’estensione e localizzazione del danno articolare, non sull’età anagrafica. Pertanto, sia pazienti giovani che anziani possono beneficiare di una protesi parziale, a condizione che le caratteristiche cliniche lo permettano.
Conclusioni:
Le protesi parziali di ginocchio offrono un approccio meno invasivo rispetto alle sostituzioni totali, con il vantaggio significativo di preservare i legamenti naturali del paziente. Questa conservazione si traduce in una migliore funzionalità articolare, un recupero più rapido e una soddisfazione complessiva elevata. È fondamentale che la selezione dei pazienti sia accurata e che l’intervento venga eseguito da chirurghi esperti, utilizzando le tecnologie più avanzate disponibili.
