

Artrosi del ginocchio, una malattia debilitante
L’artrosi del ginocchio è una patologia degenerativa progressiva che colpisce l’articolazione, causando dolore, rigidità e limitazione funzionale. Questa malattia debilitante può compromettere significativamente la qualità della vita, rendendo difficili anche le attività quotidiane più semplici, necessitando continue interruzioni dell’attività lavorativa o la riduzione dell’autonomia.
Il Ginocchio: Un’Articolazione Complessa
Il ginocchio è costituito da tre compartimenti articolari principali:
- Articolazione femoro-tibiale mediale
- Articolazione femoro-tibiale laterale
- Articolazione femoro-rotulea
Queste strutture lavorano in perfetta sinergia grazie a un complesso sistema di muscoli, legamenti e menischi che garantiscono stabilità e movimento fluido delle 3 articolazioni tra loro. Ogni alterazione della cinematica articolare può determinare sovraccarichi localizzati, contribuendo allo sviluppo dell’artrosi.


Pazienti diversi, diversi tipi di artrosi del ginocchio
L’artrosi del ginocchio non è una condizione unica, ma può manifestarsi in forme differenti a seconda della causa e della distribuzione del danno articolare:
- Artrosi primaria generalizzata: Evoluzione degenerativa dell’articolazione senza una causa specifica.
- Artrosi secondaria a malallineamenti: Sovraccarico articolare dovuto a un errato allineamento dell’arto inferiore, con stress anomalo su uno dei compartimenti.
- Artrosi monocompartimentale: Interessamento limitato a un solo compartimento (mediale, laterale o femoro-rotuleo), spesso correlato a fattori biomeccanici o pregressi traumi.
- Artrosi femoro-rotulea: Specifica dell’articolazione anteriore del ginocchio, con dolore accentuato nei movimenti di flessione e salita e discesa delle scale.
Diagnosi: Determinare la Causa dell’Artrosi
Per identificare la causa specifica dell’artrosi e pianificare il trattamento più adeguato, è fondamentale uno studio diagnostico approfondito:
- Teleradiografia degli arti inferiori in carico: Esame essenziale per valutare l’asse di carico e l’allineamento articolare.
- RX assiale di rotula: Indispensabile per lo studio della congruenza e della posizione della rotula nell’articolazione femoro-rotulea.
- Radiografie in proiezione Rosenberg: Permettono di analizzare il comparto mediale e laterale in carico e in dinamica, identificando segni precoci di usura cartilaginea.
- Risonanza Magnetica o TAC: Utilizzate in casi selezionati per rispondere a quesiti specifici, come la valutazione dell’integrità legamentosa o del danno cartilagineo profondo.
Trattamenti: Conservativo o Chirurgico?
Una volta definito il tipo e la gravità dell’artrosi, si procede con la scelta terapeutica più appropriata:
Trattamento Conservativo
Nei casi iniziali o moderati, l’approccio conservativo può rallentare la progressione della malattia e alleviare il dolore. Tra le opzioni disponibili:
- Terapia infiltrativa con acido ialuronico o PRP
- Fisioterapia mirata al rinforzo muscolare e al miglioramento della mobilità
- Uso di tutori specifici per la correzione biomeccanica
- Terapia farmacologica per il controllo del dolore e dell’infiammazione
Trattamento Chirurgico
Nei casi avanzati o resistenti alle terapie conservative, si valuta l’intervento chirurgico:
- Osteotomia correttiva: Indicata in caso di malallineamento significativo, permette nei casi selezionati di riequilibrare il carico articolare evitando o ritardando l’intervento protesico.
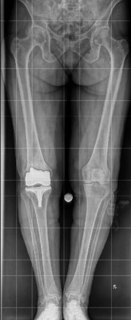
- Protesi monocompartimentale: Scelta per l’artrosi localizzata a un solo compartimento, preservando i legamenti crociati e garantendo una biomeccanica più naturale rispetto alla protesi totale.
- Protesi totale di ginocchio: Riservata ai casi di artrosi avanzata con compromissione diffusa dell’articolazione. Questo intervento mira a ripristinare la funzionalità articolare, ridurre il dolore e migliorare la qualità di vita del paziente.

Dal 2020 presso il Dipartimento di Ortopedia e Traumatologia della Fondazione Poliambulanza, il nostro team ha condotto numerosi studi sulla tecnologia robotica in chirurgia, pubblicati su riviste internazionali.
Questi studi hanno dimostrato come l’utilizzo della robotica consenta una maggiore precisione nell’allineamento degli impianti protesici, sia monocompartimentali che totali, ottimizzando il bilanciamento dei tessuti molli e preservando il più possibile le strutture anatomiche del ginocchio.
Grazie a questi risultati, siamo diventati un centro di riferimento e teaching center per la chirurgia robotica.